Donation
Contribute Through Brain Donation
Play a vital role in advancing research by learning how brain tissue donation supports scientific breakthroughs.
Brain Bank Network India Initiative
“In Service of Science, Preserving the Human Brain”
Establishment of satellite Brain Banks in India for Neuroscience Research — funded by ICMR. Committed to enabling access to high-quality human brain tissue that catalyzes discoveries shaping the future of medicine.
Our Mission: “Advancing Neuroscience Through the Preservation of Human Brain Tissue.” We bridge donors and discovery, supporting global research to decode neurological disorders and improve human health.
2021
Established
ICMR
Funded
2+
Collaborators
Donation
Play a vital role in advancing research by learning how brain tissue donation supports scientific breakthroughs.
Museum
Step into the region’s first brain museum, showcasing fascinating exhibits and immersive learning experiences. (Open for educational visits)
Research
Use our interactive resources to better understand the remarkable complexity of the human brain.
About Us
At the AIIMS Bhubaneswar Brain Bank, we are committed to driving progress in neuroscience by enabling access to carefully preserved, high-quality brain tissue that supports scientific breakthroughs. AIIMS HBTR was established in year 2021 in the Department of Pathology and Lab medicine.
Every donation tells a story. Every sample brings scientists one step closer to answers to challenging questions and enables better diagnosis, improved treatments, and, ultimately prevention of neurological conditions like Parkinson’s, dementia, stroke, and Alzheimer’s.
“Be Part of the Journey: Help us unravel the brain’s mysteries and advance medicine for generations to come.”
Click an objective below to learn more ↓
Future Perspectives
Our Collaborations
We are proud to collaborate with two leading institutions in neuroscience research:
NIMHANS
National Institute of Mental Health and Neurosciences
A globally recognized leader in brain research, contributing cutting-edge expertise and resources to support our mission.
NIMHANS Brain bank sitePGIMER
Postgraduate Institute of Medical Education and Research (PGIMER), Chandigarh
Partnering with us to advance neurological research, PGIMER Chandigarh provides critical clinical insights and research collaboration.
PGIMER Brain bank SiteThese collaborations help enhance the quality of our research, ensuring that our work is impactful and far-reaching in the field of neuroscience.
Donate
Be a part of our mission to revolutionize brain research. Every donation brings scientists one step closer to understanding neurological disorders.
Get Involved TodayLocation & Contact
Room no. 215, Brain Bio Bank,
Dept. of Pathology & Lab Medicine,
2nd floor, Academic Block,
AIIMS Bhubaneswar, Odisha 751019.
Working hours: 9:00 AM – 5:00 PM
Before Death — Register Your Wish
Have a prior family discussion and consent about brain donation. Do not forget to inform your health care providers and care takers about your decision.
At Time of Death — Call Brain Bank
At the time of impending death and/or at death, family members, or caretakers, should call Brain Bank coordinator [Telephone No's: Dr. Suvendu Purkait P.I Brain Bank: 9654045753 (Working hours: 9:00AM to 5:00PM) and be prepared to provide the following information and documents:
Consent & Post-Mortem
HBTR staff guides the legal next-of-kin/legal representative through the consent process, reviewing the documents. The signed consent form by the legal next-of-kin/legal representative, must be received by HBTR staff in order to proceed with the brain donation. Post-mortem process will take1-1½hrs after reaching AIIMS Bhubaneswar mortuary. The hierarchy for those legally authorized to make a donation of the potential donor's brain after his/her death is as follows:
Legal Consent Hierarchy
Important Note
Note: Human brain tissue quality degrades very quickly following death. In order for HBTR to provide the highest quality brain tissue to the research community, donor's body must reach the centre as early as possible. Utmost care will be taken to make sure there is no disfigurement. Only the donor's brain will be sent to HBTR, so the donor's body will be handed back to the family members.
After Donation — Documents & Certificates
Collect post-mortem
Brain Bank sends you by post
To: Principal Coordinator/Associate Coordinator, Dept. of Pathology & Lab Medicine, 2nd floor, Academic Block, AIIMS Bhubaneswar, Odisha 751019.
1. I (Mr/Mrs/Miss)…………………………………………………Aged ………Years wish to donate my Brain/Spinal cord/Peripheral nerve/Eye voluntarily after my death to the Human Brain Bank, AIIMS Bhubaneswar for research /educational purposes. I authorize Human Brain Bank, AIIMS Bhubaneswar to collect and store my brain / other tissues indicated above to utilize them for the above-mentioned purposes. I or my family members do not seek any monetary benefit or otherwise in this donation. The material can be used for research purposes and communication of results in research journals if it will be of benefit to society ensuring that strict confidentiality of the donor’s identity be maintained.
2. After the organ retrieval, (Brain/Spinal cord/Peripheral nerve/Eye/) my relatives may request to keep the body in the mortuary freezer for 2 to 3 days until their close relatives come from outstation/abroad to collect the body for cremation. This may kindly be honored.
3. I donate the whole body, which can be used for educational purposes.
Donor Name(Capital)
Witness Name (Relationship to Donor)
Address
Address
Signature
Signature
*(The Family physician/ Legal heir/ Person not related to the family can also sign as a Witness)
To: Human Brain Tissue Repository, Dept. of Pathology & Lab Medicine, 2nd floor, Academic Block, AIIMS Bhubaneswar, Odisha 751019.
Name of the Donor
Date of Birth/Age
Age/Sex
Marital Status
Permanent Residental Address
Residential Phone No/Mobile Number
We, the undersigned solemnly affirm and declare that we have no objection for the brain/ other tissues (specify) donation by the donor to the Human Brain Tissue Repository.
I/We declare to abide by the donor’s wish and agree to inform the Department of Pathology and Lab medicine, Academic Block, All India Institute of Medical Sciences, Bhubaneswar,
Name & Relationship to Donor
*Witness Name
Address with phone number(s)
Address with phone number(s)
Signature
Signature
Date/Place
Date/Place
*The Family physician/ Person not related to the family can sign as Witness.
Note: The donor/family members have the right to withdraw consent at any time without assigning any reason.
For Researchers
Researchers can request brain tissue samples from the AIIMS Bhubaneswar Brain Bank to advance their studies in neuroscience.
Application Process
Fill out our Request Form (Form A) with detailed information about your research project.
Available Resources
Tissue samples categorised by diagnosis, preservation type, and demographic information.
Approval Timeline
Expect processing times and instructions for receiving tissues after form submission and ethics approval.
REQUEST FOR POSTMORTEM BRAIN TISSUE / TISSUE FLUID from HUMAN BRAIN TISSUE REPOSITORY (HUMAN BRAIN BANK), Pathology and Lab Medicine, AIIMS Bhubaneswar
Provider: Department of Pathology and Lab Medicine, AIIMS Bhubaneswar
The Provider agrees to transfer Research Material to the Recipient Scientist. Material is classified as one of: Identifiable / Coded / Anonymised.
Recipient Agreement includes:
This material may NOT be used in human subjects. It is supplied with no warranties, express or implied, or for commercial purposes.
Faculty and Staff
Additional Professor, Project Investigator
Professor and Head, Co-PI
Professor and Head, Co-PI
Professor and Head, Co-PI
Project Research Scientist
Technical Support
Data Entry Operator
Lab Attendant
Lab Attendant
Research and Education
Our research spans tissue quality assessment, molecular biology, and training the next generation of neuropathologists.
Effect of Post-mortem interval (PMI) on the histopathological and Immunohistochemical assessment Brain tissue with different PMI (1 to >30 hrs.) was assessed for an objective decay score on histopathology and different immunohistochemistry related to the basic structure and enzymes related to ROS metabolism. In the process of manuscript preparation
Effect of Post-mortem interval (PMI) on the DNA and RNA integrity of the tissue Brain tissue with different PMI was assessed for RNA integrity and DNA integrity by different methods.
Different region of the mRNA of Cytochrome C1 (CYC1) was assessed with qRT-PCR In the process of manuscript preparation
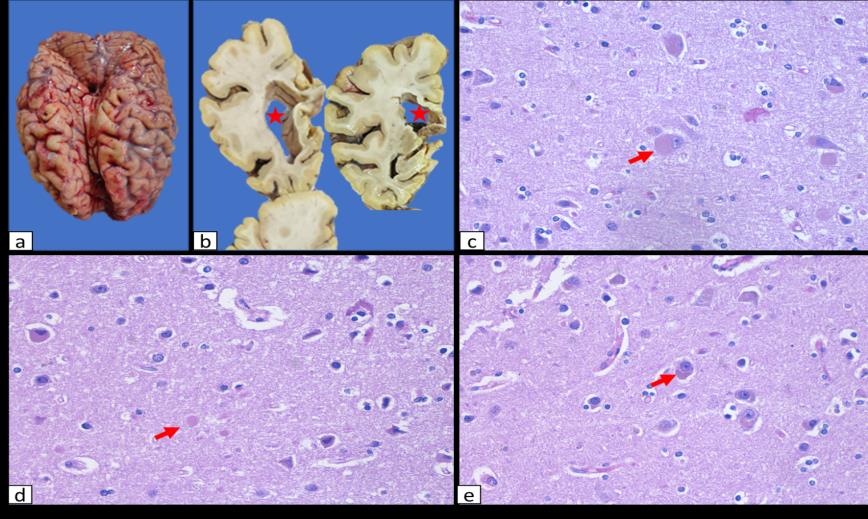
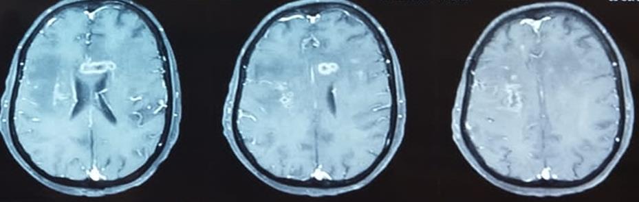
Assessment of the pathobiology of Cerebral Small Vessel disease (CSVD). The expression of different molecular markers related to ferroptosis form of cell death was assessed in CSVD cases.
Multimodal Evaluation of RNA Integrity and Tissue Quality in Human Postmortem Brain Across Varying Postmortem Intervals in a Tropical Indian Brain Biobank
To train the residents perusing MD pathology on brain autopsy, anatomical dissection, histopathological assessment and storage of brain tissue.
Development of the skill and competence of the MD Pathology residents for performing brain autopsy and dissection independently.
Preliminary diagnosis of the gross and microscopic pathology.
Dissection images & procedure overview coming soon
Brain Museum
“Sow the seeds of Neuroscience — Make everyone N-Literate”
The Human Brain Museum at AIIMS Bhubaneswar offers a unique opportunity to explore the complexities of the human brain. Visitors can learn about brain anatomy, neurological disorders, and the importance of brain tissue donation for scientific research.
Visit Hours
How to Book
Email us to request an appointment. Confirmation with visit details will follow.
To book a visit to the Neuropathology Brain Museum, Dept. of Pathology and Lab Medicine, 2nd floor, Academic Block, AIIMS Bhubaneswar:
Write an email requesting to permit your school for the proposed museum visit. Kindly include the following details:
Gallery
Contact Us